Overview - Elbow

Usual Rule of 2's in trauma radiology

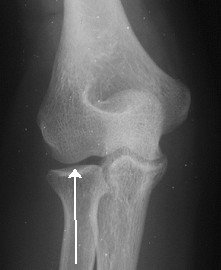
Look closely at individual parts, if dislocation look closely for tip of coronoid fragment

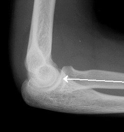
Look for dislocation/ subluxation of radial head

 

On all views (including obliques) the radial head should point to the capitellum.

 


Last updated 11/09/2015